 |
Diagnóstico Gingival |
|
| |
|
Características |
Encía |
| Normal |
Inflamada |
| Color |
Rosa pálido |
Rojo |
| Tamaño |
Borde cortado a filo de cuchillo |
Aumentado |
| Aspecto |
Puntillado, tipo piel de naranja |
Liso |
| Consistencia |
Firme |
Depresible |
| Hemorragia |
Ausente |
Presente al sondaje o espontánea |
| |
|
|
Encía Normal |
|
 |
 |
|
Encía inflamada |
|
|
|
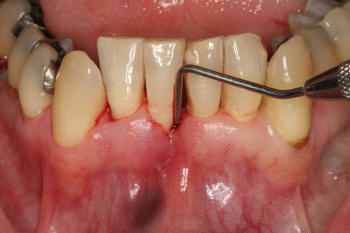
Encía levemente inflamada con un
componente fibroso. Observe el borde gingival con aspecto
liso, turgente y brillante de color rojo |
|
|
|
Cuantificación:
Los dientes elegidos para aplicar el índice gingival según Loe y
Silness son los elegidos por Ramf jord: 1.6, 2.1, 2.4, 3.6, 4.1, y 4.4, y
se aplican en cuatro sitios por diente: distal, vestibular, mesial, y
palatino. Es decir que deben registrarse 24 mediciones para cada paciente.
El promedio de las 24 mediciones constituye el índice gingival para toda
la boca.
El cuadro siguiente sintetiza el índice
gingival según Löe y Silness.
|
Grado |
Características |
Signos
clínicos |
|
0 |
Ausencia de inflamación |
|
|
1 |
Inflamación leve |
Leve cambio de color y textura |
|
2 |
Inflamación moderada |
brillo moderado, enrojecimiento,
edema e hipertrofia, sangre al sondaje (esperar 10 segundos. |
|
3 |
Inflamación severa |
Tendencia al sangrado espontáneo.
Ulceración |
Indice de hemorragia simplificado:
|
Grado |
Características |
Signos
clínicos |
|
0 |
Ausencia de hemorragia |
No sangra al sondaje (esperar 10
segundos) |
|
1 |
Presencia de hemorragia |
Sangra al sondaje de inmediato |
|
|
|
 |
 |
|
Grado 0 |
Grado 1 |
Los
dientes y los sitios seleccionados para aplicar
el índice de hemorragia simplificado son los mismos que los tomados en el
índice gingival.
Bibliografía: