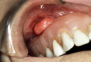
| El épulis
fisurado representa una masa hiperplásica de la mucosa, generalmente en
el vestíbulo de la boca, proliferando como una reacción a la
irritación mecánica de largo
plazo de una prótesis dental mucosoportada mal adaptada.
Aquí son
dos épulis, bilaterales, en los vestíbulos del maxilar. Es una
apariencia típica. Son lobulados y
muestran áreas focales aumentadas de vascularidad. En la porción
central de cada masa hay una ranura ó una invaginación
que corre en una dirección anterior-posterior. La pestaña de la
dentadura postiza encajará en estas ranuras.
|
 |
| Esta vista más
aumentada de la lesión del lado izquierdo
está compuesta de por lo menos tres pliegues de tejido bastante
denso. Hay invaginaciones profundas entre los pliegues.
|
 |
| Aquí la
dentadura postiza está en el lugar y usted notará como el borde o
pestaña de la dentadura se introduce en la invaginaciones. Esto indicaría
que hay espacio considerable entre la pestaña y
reborde alveolar. La irritación constante por el borde de la
dentadura postiza que choca con en el tejido mucoso da lugar a la
producción continua de tejido conjuntivo fibroso inflamado.
|
 |
| Se observa
los pliegues del épulis del lado opuesto.
|
 |
| Con la
dentadura postiza en el lugar, la pestaña encaja muy bien en la ranura
con una porción de la lesión localizada debajo de la dentadura postiza
y la mitad queda en la superficie externa.
|
 |
| Este épulis
fisurado involucra el vestíbulo
de la mandibula anterior. Aunque no esté la dentadura postiza que
produce dicha lesión, hace pensar en una asociación íntima entre la prótesis
desaptada y la lesión. Los rasgos clínicos también hacen pensar en la
posibilidad de malignidad. En todos los casos, se indica una biopsia
para el diagnóstico preciso.
|
 |
| Este épulis
fisurado se encuentra en una localización no habitual, en la
almohadilla retromolar.
|
 |
|
Este
ejemplo extraño parece estar originando
porque la dentadura postiza irritaba la mucosa vestibular. |
 |
| El
tratamiento para el épulis fisurado normalmente es la biopsia por escisión . En la mayoría de los casos, el encogimiento ocurrirá si
las dentaduras postizas no están estropeadas; sin embargo, porque la
lesión está compuesta por tejido fibroso muy denso, la resolución
completa generalmente no ocurre. Este espécimen indica el tipo de
terapia empleado. El patólogo realizará las secciones múltiples a
través del espécimen para evaluar todas las porciones.
|
 |
|
Esta
microfotografía de baja resolución
ilustra bien el aspecto lobulado de la lesión. Hay una
invaginación profunda en la porción central en que la pestaña de la
dentadura postiza fue localizada. |
 |
| Este
microfotografía se observa el área ulcerada en la base de la
invaginación y muestra exudado inflamatorio, tejido fibroso reactivo y tejido de granulación.
|
 |
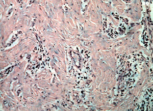
| Periférico a
la ulceración el tejido del tipo predominante que comprende la mayoría
de la lesión, es el tejido conjuntivo fibroso bastante denso con un número
moderado de los vasos sanguíneos. Note la inflamación crónica
perivascular tan común en
las lesiones reactivas. Los fibroblastos son uniformes a lo largo hay
considerable colágeno denso. Con esta microfotografía usted
puede determinar que la única forma de eliminar la lesión es con la
biopsia por escisión. |
 |