Salud Dental Para Todos

 

Fibroma por irritación

Escuela Dental de la Universidad del Sur de California. U.S.A.

Click en las imágenes para ampliar.

Los fibromas por irritación están bien delimitados y son de crecimiento lento y asintomático y obedecen a una irritación crónica. Tienen una masa densa de tejido conjuntivo fibroso revestido por mucosa normal.

Éste es un fibroma pequeño, firme y sesil (no pediculado) en la mucosa bucal cerca de la comisura. El color pálido sin aumento de la vascularidad, indica que no está ulcerado hasta el presente. La situación sugiere que pueda haber sido el resultado del trauma durante la masticación.

Esta fibrosis por irritación también tiene una base ancha  y se cubre por  mucosa normal. Estas lesiones son  menos comunes en el labio comparado con la mucosa bucal. Y son asitomáticos.
Esto se presenta como una masa polipoide  en el borde de la lengua con  aumento de la vascularidad  pero todavía está cubierta por mucosa normal. La biopsia es excepcional como método de diagnóstico y tratamiento.
Ésta es una fibrosis moderada  por irritación.  Cuando alcanzan este tamaño probablemente esta lesión  será irritada más a menudo y seguirá aumentando de tamaño. El practicante general puede quitar las lesiones de este tipo fácilmente cuando ellas ocurren en la mucosa bucal.
Ésta es una biopsia  por escisión  de una lesión similar vista en la  imagen 1. La superficie cortada revela colágeno de color blanco, denso y homogéneo.
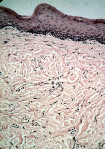
Esta microfotografía  ilustra  la fibrosis por irritación; generalmente es una lesión no encapsulada cubierta por el epitelio escamoso normal pero algo delgado. Incluso a esta resolución  puede ver el tejido fibroso bastante denso que se extiende por debajo del epitelio.
A mayor poder de resolución muestra que el colágeno ondulado es sumamente denso y con pocos fibroblastos. Hay poca o ninguna inflamación y el epitelio que cubren la superficie convexa está normal.
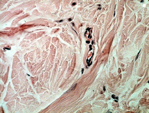
A  una mayor resolución que la imagen anterior, el crecimiento muestra  colágeno sumamente engrosado alrededor de un vaso sanguíneo.  Los fibroblastos en forma de  husos están  esparcidos y no hay inflamación. Si éste fuera un verdadero fibroma  uno esperaría ver muchas células y mucho menos colágeno. Aunque la prognosis es excelente, puede haber repetición si los factores irritantes locales permanecen .
Volver