Salud Dental Para Todos

 
 

Garnuloma ó fibroma periférico

Escuela Dental de la Universidad del Sur de California. U.S.A.

Click en las imágenes para ampliar.

El granuloma periférico es una proliferación reactiva de tejido conjuntivo fibroso que ocurre casi exclusivamente en la encía. Éstos son normalmente asociados con irritación local como cálculo o mal alineación de dientes.

Éste es un ejemplo bastante típico de una lesión  nodular, firme cubierta por  epitelio normal. El color indica que hay proliferación vascular.

 

Este ejemplo típico se ulcera focalmente pero es asintomático. Este varón de 48 años de edad declaró que la lesión se había estado agrandando durante 5 años. Los dientes aparecen separados. Es frecuente  que estas lesiones pueden ser bastante agresivas y pueden cambiar de sitio a los dientes.
Esta gran lesión se extendió bien en lingual y cambió de sitio algunos de los dientes. Los granulomas periféricos lograrán un tamaño considerable sin tratamiento. La terapia es la biopsia por escisión . Puede ser necesario extender la cirugía  al hueso subyacente para eliminar la lesión. También se indica la eliminación de estímulos irritantes.
Este fibroma  periférico se proyecta desde la encía y se muestra enrojecido. Parece un granuloma.
Radiografía de la lesión en la imagen anterior revela la formación de hueso, que no es un hallazgo raro en este tipo de lesión.
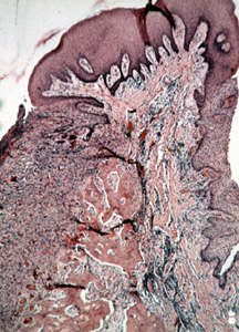
Esta microfotografía de baja resolución muestra  varios componentes del tejido. Hay áreas de tejido conjuntivo celular y zonas de inflamación crónica. Además, usted puede ver las numerosas trabéculas óseas que a  menudo están presentes.
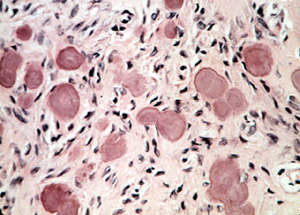
A una mayor resolución de imagen  se observan  áreas hipercromáticas como de la condensación de fibroblastos. Hay condensación ligera de colágeno que indica la posible formación de hueso. Es una lesión hiperplásica.
Ilustrado aquí es el área central de tejido conjuntivo celular con el epitelio encima y trabéculas de hueso al fondo. La presencia de hueso es común.
A menudo se  presentan cuerpos calcificados pequeños. (cementículos)
Casi cualquier tipo de calcificación puede encontrarse en estas lesiones.
Volver