Salud Dental Para Todos

 

Granuloma piógeno

Escuela Dental de la Universidad del Sur de California. U.S.A.

Click en las imágenes para ampliar.

El granuloma piógeno es una proliferación exuberante de tejido de granulación debido a una reacción exagerada a una irritación. No es una infección.

Aquí hay un ejemplo típico de  granuloma piógeno vascular, focalmente ulcerado. Éstos son generalmente asociados con algún tipo de irritación local; en este caso es probablemente el aparato ortodóntico. Por el color usted puede ver que la lesión es notablemente vascular y está casi exclusivamente compuesto de tejido de granulación.

Aquí hay otro ejemplo típico ocurriendo en el mucosa edéntula. Incluso la irritación más ligera puede causar  hemorragia. Un granuloma  piógeno  pueden crecer rápidamente y pueden simular un tumor maligno; obviamente, el diagnóstico preciso requiere de la biopsia.
Éste es un granuloma piógeno raro, hay considerable tejido  necrótico y exudado superficial. Tres semanas de crecimiento rápido y la apariencia clínica parecen ominosa, pero estas lesiones son generalmente inocuas.
Este granuloma piógeno del labio de un estudiante dental es la consecuencia del hábito del  mordisqueado del labio. No hay cicatrización debido al hábito,  más la acumulación de material necrótico.
Irritación menor que causa proliferación de tejido de granulación excesiva, puede indicar  una enfermedad sistémica. Ésta es una mujer de 25 años de edad, que padece de diabetes desde los 8 años de edad.
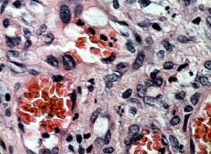
Note la ulceración y el exudado inflamatorio en la superficie. Debajo hay muchos capilares congestionados.
Se observa a mayor resolución la proliferación vascular con gran cantidad de neutrófilos. Ésta es la apariencia típica de tejido de granulación y estas lesiones están casi exclusivamente compuestas por este tejido.
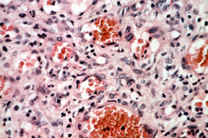
A una mayor resolución de la imagen anterior se observan la células endoteliales  agrandadas e hipercromáticas. Por ello estas lesiones crecen en forma muy rápida.
Volver