Salud Dental Para Todos

 

Hiperplasia inflamatoria papilar

Escuela Dental de la Universidad del Sur de California. U.S.A.

Click en las imágenes para ampliar.

Este es un ejemplo típico de hiperplasia  papilar inflamatoria, ofrece una configuración en forma de burbujas en el paladar duro. Estos tejidos están enrojecidos, hay edema y presencia de tejido conjuntivo fibroso denso localizado. Generalmente, esta condición es asociada con una dentadura postiza pobremente adaptada, y el  tejido llena el espacio por irritación como resultado de la succión de la prótesis.
El paladar no está todo cubierto en su totalidad como es ilustrado en este ejemplo.
A veces la hiperplasia papilar inflamatoria ofrece una  proliferación densa fibrosa con menos vascularidad. Cuando la lesión es fibrosa, como en esta imagen, la cirugía es generalmente la terapia empleada.
En los pacientes que tienen este tipo de lesión está íntimamente asociada a la adaptación de la prótesis sobre la mucos palatina. Hay una dentadura postiza parcial con una barra palatina, pero los tejidos involucrados no son cubiertos por la porción de la dentadura postiza. Algunos creen que  esto puede ser un tipo de anormalidad de desarrollo pero la apariencia clínica es bastante similar a los casos anteriores. De nuevo, usted notará que el color de los tejidos fibrosos tienen un bajo grado de vascularidad  y hay un aumento de la inflamación.
Ésta es una amplificación de la imagen antrior que ilustra una lesión en forma de racimo nodular.
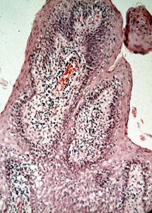
Este microfotografía muestra  la configuración de las papilas. Hay numerosos dedos, como proyecciones cubiertas por epitelio escamoso respaldados por centros de conjuntivo que contiene inflamación crónica.
Note las numerosas células inflamatorias en el tejido conjuntivo y los vasos sanguíneos notablemente dilatados.
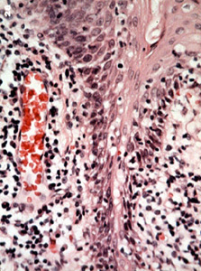
A mayor poder de resolución se observa  la reacción inflamatoria  compuesta por linfocitos y plasmocitos. Pero no se observa ninguna displasia en el epitelio.
Volver