|
La
gingivitis en el embarazo
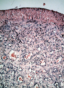
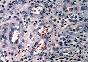
Además del
"tumor" del embarrazo, las mujeres en cinta pueden
tener un agrandamiento gingival difuso caracterizado por la misma
proliferación de tejido de granulación. Esta imagen ilustra la llamada
gingivitis del embarazo que
involucra muchas áreas. El tratamiento generalmente se pospone hasta la
terminación del embarazo; sin embargo, si las lesiones tienden a
volverse dolorosas y sangrantes, la terapia debe instituirse temprano.
|