Salud Dental Para Todos

 
 

Diagnóstico y tratamiento de la periodontitis moderada

Periodontitis moderada
La información para el paciente acerca de la causa y autocuidado de las  enfermedades de la encía: Se describen las causas para las enfermedades de la encía  en este sitio. El tratamiento y el efecto del tratamiento se ilustra en  las imágenes. El enfoque para la información está en lo que el paciente puede hacer  para la prevención de las  enfermedades de la encía y mantenimiento de los  resultados obtenidos durante el tratamiento. 
Los materiales, métodos, instrucciones, recomendaciones, conclusiones, etc.  que encuentre en estas páginas sólo puede relacionarse a un caso particular, situación, área o país. Cualquier uso - o mal uso - de nuestra información corre por cuenta y riesgo   de cada usuario. 

Pueden transmitirse imágenes y texto libremente, si la fuente se reconoce y no se han realizado cambios. Cualquiera que use nuestra información (por ejemplo en el tratamiento de pacientes) debe verificar  que está de acuerdo con las normas locales, regulaciones, legislación, y que los procedimientos son aceptados  por autoridades locales involucradas. 


Rolf Attstrom, Professor and Chairman, Department of Periodontology, Centre for Oral Health Sciences, 21421 Malmo, Sweden

Published September 1998 updated November 1999

Advertencia importante: 
Un cambio súbito en los  hábitos de la higiene oral podría causar  problemas si usted tiene una gingivitis o bolsas periodontales profundas, con acumulación de placa bacteriana y cálculos subgingival. Vea a su dentista para un  consejo profesional y poder poner en práctica  los métodos demostrados en  este sitio. La información transmitida por este sitio debe ser  evaluada  por su terapeuta para llegar a una solución aceptable de su problema. 

Aspectos a tener en cuenta:

  • Use un  cepillo suave de dientes ó  extra suave con un mango adecuado para ser sostenido en forma firme y cómoda. 

  • Use hilo  dental, palillos interdentales o cepillo  interdental para la higiene entre los dientes según la recomendación del profesional.

  • Use una pasta dentífrica con  fluoruro 

  • Use los cepillos especiales si es necesario en las regiones de dificil acceso, como en los dientes mal alineados o coronas y tramos de puente.

  • Inspeccione la presencia de placa bacteriana de vez en cuando después del cepillado dental. Utilizando comprimidos reveladores de placa bacteriana.

La peridontitis se diagnostica por la inspección visual de la gingiva y por el sangrado de la encia al sondaje suave del surco gingival. Este paciente es una mujer de 30 años de edad que consulta por sangrado de las encias durante el cepillado dental.

El examen de la condición periodontal se lleva a cabo en la dentición completa, el profesional registra las profundidades del surco gingival (bolsas periodontales) y el sangrado de las mismas. Si juzga necesario tomará radiografías periapicales, complementar el diagnóstico periodontal.

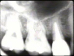
Se realizaron radiografías periapicales de todos los dientes, estas demostraron la perdida de nivel óseo en aproximadamente un 1/3 a 1/2 de la longitud de la raíz. En algunas situaciones, como en el  premolar  superior, la perdida de tejido óseo  en los espacios interproximales era muy significante. 

El proceso de la enfermedad empieza en el margen  gingival. Comienza con una colonización de bacterias en el surco gingival. Si no son removidas con un buen cepillado, las bacterias penetran en el surco, tejido gingival profundo (Subgingival)

Las bacterias que se encuentran en  subgingival sueltan substancias tóxicas que causan inflamación. Los mecanismos inflamatorios e inmunes que son las reacciones de defensa comienzan las  alteraciones del tejido que llevan al proceso de la enfermedad periodontal estendiendose en dirección apical.

El bolsillo periodontal puede aumentar en profundidad  y el hueso alveolar absorbe las reacciones inflamatorias del  tejido que produce una apariencia  clínica de un margen  gingival rojizo, hinchado y que sangra facilmente durante el cepillado ó al sondaje que realiza el profesional.

El cepillo se ubica  para cubrir el margen gingival y un segmento de la superficie del diente. El ángulo entre la superficie y el cepillo debe ser aproximadamente 45 grados. El cepillo se mueve de un lado a otro con un movimiento suave por alrededor de 10 a 15 segundos y entonces se ubica en el próximo segmento dental . En las regiones con los dientes en mala posición o regiones de dificil acceso el cepillo interdental  es útil para la higiene de este tipo de zonas.  La investigación actual indica que no  hay todavía un  método desarrollado  superior. Uno tiene que trabajar por consiguiente en el problema orientado por el terapeuta para eliminar en forma correcta la placa bacteriana dental y no causar daño a la encía. La superficie interna de la mandíbula puede ser de difícil acceso.  El cepillo puede ubicarse en forma oblicua para alcanzar las superficies y evitar el reflejo faringeo (náuseas) Otra alternativa es usar el cepillo unipenacho que es más pequeño y fácil de maniobrar en está área.

Las imágenes a la izquierda y derecha muestran la ubicación correcta del cepillo en el maxilar superior. Note la  angulación del cepillo y el corto movimiento  de un lado a otro, abarcando solo dos o tres piezas dentales por vez.

En las regiones difíciles podría ser una ventaja usar un solo cepillo unipenacho. Por ejemplo a los dientes inclinados como aquí  se muestra en la imagen.

El último diente superior  e inferior  es a menudo difícil limpiar. El cepillo unipenacho es aplicado a lo largo de la encía  y movido de un lado a otro. El cepillo se moverá de un lado a otro suavemente aproximadamente 10 veces encima del margen gingival en cuestión. Cuando usted empieza a usar esta técnica al principio suele sangrar la encía. Notará que después de unos días deja de sangrar al cepillado. Esto es un buen signo de que Usted está realizando las maniobras de higiene en forma correcta.

El cepillo interdental, el unipenacho y el hilo dental  pueden usarse por limpiar  las superficies entre los dientes. ¿Cuál es el mejor? está pregunta debe responderla su dentista en base al caso particular. Los palillos interdentales deben ser del tipo triangular.

El palillo interdental  se usa como un "cepillo" moviendo de atrás hacia adelante friccionando la superficie dental unas 10 veces. El palillo interdental  debe seguir la forma de la superficie del diente y es necesario ajustar la posición encada movimiento. Cuando el cepillo dental se usa en una región dónde hay una bolsa periodontal profunda debe apretarse ligeramente hacia el tejido. 

 
El uso del hilo dental l puede ser bastante difícil si los dientes están muy apretados entre sí o en mala posición.  Pregúntele al profesional  qué ayuda puede usar  y cómo debe limpiar con el hilo  entre los dientes. Generalmente el hilo se usa cuando los dientes están en  contacto y la papila gingival llena el espacio interdental. Cuando el espacio está abierto, un cepillo  interdental o palillo podrían ser la opción.

El Premio de un Tratamiento Temprano para la Periodontitis

Antes de al tratamiento 
Estas dos pares de imágenes -sobre y debajo de - izquierda y derecha - muestran las regiones de la gingiva en contacto con la lengua. Las imágenes de la izquierda son antes del tratamiento y las de la derecha posteriores a el.
6 meses después del tratamiento 
El cambio más obvio que puede notarse seis meses después del tratamiento es el cambio de color del tejido: de un rojizo oscuro en la imagen izquierda a un rosa pálido en el derecho. El cambio en el color es debido a la disminución o desaparición de la  inflamación en la gingiva.
3 años después del tratamiento 
La imagen superior  es después de tres años del tratamiento. Los dientes están bastante limpios (libres de placa) . El tejido se ha retraído  un poco pero la encía no demuestra sangrado a la inspección y tiene un color rosa pálido que indica que no hay inflamación o es mínima y compatible con salud.

Estas imagenes fueron producidas  por Rolf Attstrom y la Asociación Dental Dinamarquesa en colaboración con  Video  Goof, Dinamarca. Cámara y videoediting Tommy Ols, Videocompiling y Grabación  Anders Nattestad
Rolf Attstrom ,  Professor and Chairman, Department of Periodontology, Centre for Oral Health Sciences, 21421 Malmo, Sweden.
Anders Nattestad

Publicado en Agosto de 1998 y actualizado en Noviembre de 1999

Traducción:  Marcelo A.  Iruretagoyena (Odontólogo) Licenciada Adriana Verón.
Volver a periodontología