Salud Dental Para Todos
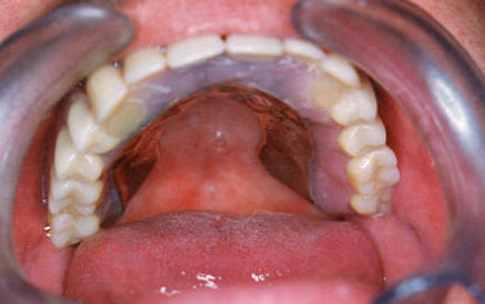
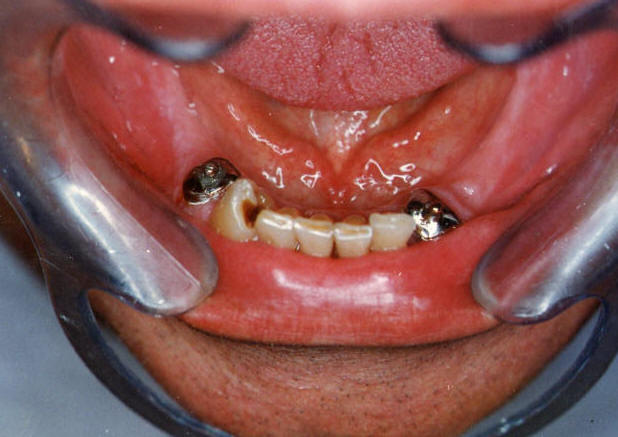
PPR con retenedores estéticos (Ball atache intracoronario a perno )
E-mail: Od. Marcelo Alberto Iruretagoyena
Perno colado tipo Richmond con ball atacche
Vistas de las PPR con sus ataches
Caso terminado