Salud Dental Para Todos

 
 

Tallado para corona de porcelana alúmina: Secuencia clínica

E-mail: Od. Marcelo Alberto Iruretagoyena

1º Cita. Tallado con puntas de diamante a alta velocidad (turbina)  y refrigeración acuosa:

Tallado de las caras mesial y distal con puntas de diamante troncocónicas de extremo redondeado

El tallado se continua por vestibular y palatino

Vista palatina del tallado

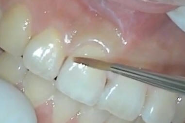
Reducción del borde incisal

Dejar suficiente espació para la porcelana por lo menos 2 mm o más

Ver el hombro realizado en palatino que debe ser supragingival

Los hombros en esmalte son muy marcados

Con una punta de oxido de aluminio se redondea el hombro y se pule para una mejor adaptación de la porcelana

Levando el hombro  a subgingival solo en vestibular

Con puntas de diamante de grano extrafino se elimina el esmalte sin soporte en mesial y distal


Confección del provisorio:
Toma del color para provisorio Ver ajuste de l provisorio estandard Ajustar con piedra o fresa  para acrílico  el hombro del  provisorio

El ajuste no debe comprimir la encia, debe legar al borde de la preparación

Cargando acrílico de autocurado del matiz del diente homologo

Envaselinar el muñón

Ajustar la corona provisoria con acrílico de autocurado (rebase)

Retocar y volver a ajustar.

El provisorio llegua al borde de la restauración. Eliminar mango identificatorio de la corona y desgastar incisal hasta la misma altura l del homologo.  Y chequear oclusión


Impresión o registro dental:

Aplicar la silicona fluida directo en la restauración por mesial vestibular , distal y palatino para no generar burbujas.

 

 

Con una cubeta estandard y silicona pesada impresionar el arco superior. Correcto registro para generar el modelo de trabajo. Observe el hombro en la impresión con silicona


Cementado del provisorio:

Cementar el provisorio a presión digital, con un cemento a base de silicona.

2º Cita. Prueba del biscocho de la alúmina:

Retirar el provisorio desde palatino con un baja puente

Retirar remanente de cemento en el borde cabo superficial de la restauración

Probar el el ajuste del biscocho, debe llegar hasta el borde cabo de la restauración y debe tener estabilidad buco-palatina  Chequear oclusión con papel de articular . En este caso no se tomo registro intermaxilar y antagonista dado que el paciente presenta una buena alineación tridimensional. El técnico al lograr la morfología de la pieza dental homologa, no fueron  necesarios los registros intermaxilares. Esto solo lo hacemos cuando reponemos una sola pieza dental en un arco con una buena alineación tridimensional; en caso de ser dos o más, los registros intermaxilares y modelo antagonista son expresamente necesarios.

No debe haber enganche cuando se pasa una sonda Matizar con modificador de color para resina compuesta, es útil como comunicación con el técnico dental

Retirar la corona sin modificar la resina usada para modificar color


3º Cita. Cementado de la alúmina:  

La  corona alúmina terminada se prueba nuevamente para ver tono y matiz correcto

Cementar con resina con modificador de color

Aislar y secar la zona para el cementado, dejar endurecer para luego quitar los excesos de material sin dañar los tejidos blandos. Corona de alúmina instalada.