Salud Dental Para Todos

 

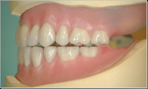
Resumen: Esquema Oclusal Lingualizado

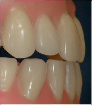
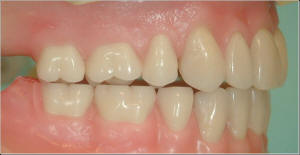
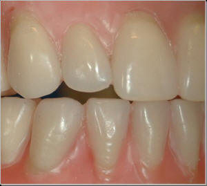
El esquema oclusal lingualizado tiene las siguiente características:

  • Dientes anatómicos en maxilar superior

  • Dientes no anatómicos en maxilar inferior ó dientes anatómicos modificados por el técnico dental

 

  • No hay curva frontal (Wilson)

  • No hay curva sagital  (Spee)

  • Hay overjet
    • 2 mm en clase I esqueletal
    • más de 2 mm en clase II esqueletal
    • Casi no hay overjet en clase III esqueletal

  • El desbordamiento horizontal posterior debe ser de tal amplitud para evitar el mordisqueo del carrillo y evitar el contacto de las cúspides vestibulares en céntrica y excéntrica.
  • No hay overbite (sobremordida vertical)

 

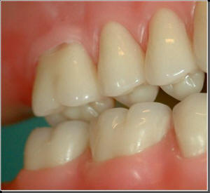
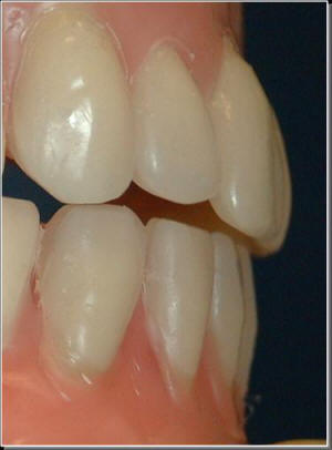
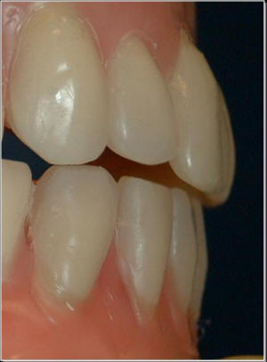
  • Oclusión balanceada (en protrusión se realiza con rampas)
  • En excéntricas las cúspides palatinas contactan con las superficie oclusal plana de los molares inferiores y las rampas

Protrusión Lado de trabajo Lado de balance
  • Bbibliografía: Complete Denture Manual  Robert W. Loney  2009 pdf and Ppt  Dalhousie University, Canada