Salud Dental Para Todos

 

Importancia de la radiografía periapical

E-mail: Od. Marcelo Alberto Iruretagoyena

¿Que tipo de información nos da una radiografía periapical?
  1. Grado de calcificación de la cámara pulpar y conductos radiculares
  2. Disposición, grado de curvatura y número de conductos radiculares
  3. Lesiones periapicales presentes
  4. Grado de deterioro de la corona clínica por exposición a caries, obturaciones con mas de tres caras y trauma
  5. Lesiones periodontales,  como perdida ósea vertical y lesiones de furca en multirradiculares, concomitantes con alteración pulpar.
  6. Conductometría.
  7. Conometría
  8. Postoperatorio inmediato.
  9. ANEXO: Procesamiento de la película radiográfica.
Técnica paralela para la toma radiográfica periapical ó del cono largo:     
  1. El diente debe estar tan paralelo y cercano a la película como sea posible, y
  2. La fuente de los Rayos X debe ser pequeña y estar tan lejos del diente como sea posible.
1- Grado de calcificación de la cámara pulpar y conductos radiculares

La fisiología pulpar puede desarrollar diferentes grados de calcificación de la cámara y de los conductos radiculares.

Esta calcificación  se debe generalmente  a un estímulo o noxa como puede ser una caries o el desgaste de la pieza dentaria por atrición  a través del tiempo. Existen otros tipo de calcificaciones a nivel del conducto, que no son explicadas por estímulo alguno.

Se sabe que a edades de entre 70 y 80 años los conductos se hallan muy calcificados, lo cual implica  un desafío para hallar e instrumentar dichos conductos.

La radiografía periapical es imprescindible para visualizar el grado de calcificación de la cámara o conducto radicular. Usted puede modificar el tiempo de exposición de la película radiográfica (disminuyendo o aumentando la dosis de RX) y verá que aumenta o disminuye el grado de calcificación de dicha imagen de la pieza dental.

2- Disposición, grado de curvatura y número de conductos radiculares

La radiografía periapical es la proyección de un objeto tridimensional sobre una película bidimensional,  por lo tanto observará una superposición de imágenes que debe ser interpretada.

Por ejemplo usted realiza una radiografía periapical del 14 con una dirección del rayo ortogonal (A)  lo cual determinará una superposición de imágenes entre la raíz vestibular y palatina.

Pero como conoce por estadística que más del  75% de los primeros premolares superiores tienen un conducto el la raíz vestibular y otro en la  palatina.  Decide realizar lal "Técnica de Clark" que consiste  desplazar el rayo central en forma horizontal unos 20º  hacia distal o mesial (B)   Ambas raíces se desplazan en el mismo sentido.  La raíz que esta más próxima a la radiografía será la que se desplace menos. En el caso del ejemplo de de la derecha la raíz vestibular se desplaza más hacia mesial. Y por lo tanto verá en la radiografía la separación de ambos conductos. Ver imagen inferior

3- Lesiones periapicales presentes

Detectadas las lesiones periapicales, debemos evaluar el tipo de instrumentación biomecánica para la remoción y esterilización (Desinfección) de los conductos radiculares, el tipo de obturación (antiséptica o no)  así como su pronóstico ulterior.

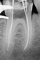
4- Grado de deterioro de la corona clínica por exposición a caries o trauma

Grandes obturaciones cercanas a la cámara pulpar,  en la mayoría de las veces es directamente proporcional al grado de calcificación de la cámara y de los conductos radiculares. Ver primer imagen derecha

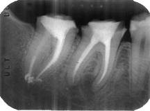
La falta de la corona clínica puede ser causa de perforaciones accidentales. Ver segunda imagen derecha

La utilización sistemática de la radiografía periapical pre-operatoria evitaría estos accidentes que suelen ser comunes durante la práctica clínica.

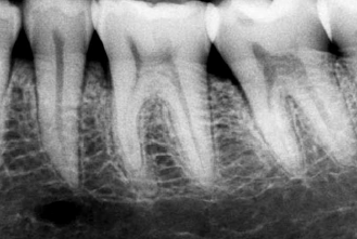
5- Lesiones periodontales como perdida ósea vertical y lesiones de furca en multirradiculares, concomitantes con alteración pulpar.

Este tipo de lesiones deben ser evaluadas como parte de un proceso de deterioro pulpo-periodontal concomitante o no.

Es sabido que lesiones periodontales afectan la biología pulpar, llevando a un proceso de necrosis pulpar. Y que lesiones pulpares del tipo necrótico producen manisfestaciones en la lámina periodontal. (lesion de furcación) 

La radiografía periapical es un elemento valioso para detectar este tipo de lesiones, por su nivel de detalle ,contraste y bajo costo.

6- Conductometría con RX: consiste en determinar la longitud precisa entre el CDC de cada conducto y el borde incisal o la cara oclusal del diente en tratamiento, considerando como longitud óptima 0,5 a 1mm. del ápice radiográfico AR.

Pasos a tener en cuenta

1.      Se toma una radiografía inicial de diagnóstico ortorradial, con el diente en el centro de la placa, preferiblemente con técnica paralela. Se mide la longitud de todo el diente desde el borde incisal o cúspide oclusal hasta la porción más apical del diente.

2.       Se resta 1 mm. a dicha longitud (distancia existente entre ligamento periodontal y el CDC, no observable en la radiografía). Conocer la longitud promedio del diente es de gran ayuda para determinar la longitud aproximada de trabajo.

3.       Se desplaza el tope de silicona de una lima K 10 ( la elección del calibre de lima debe estar relacionado con el espesor del conducto que muestra la radiografía) y  se aplica la longitud radiográfica a la lima por medio de una regla.

4.      Se introduce la lima en el conducto correspondiente hasta que el tope haga contacto con la referencia anatómica elegida de la corona.

5.      Se toma una radiografía, una vez revelada se verifica la ubicación del instrumento y se hacen los ajustes necesarios, se considera que debe estar ubicada a 0,5 – 1 mm del ápice radiográfico.

6.      Se retira la lima del conducto y nuevamente se mide la distancia entre el tope de goma y la punta del instrumento, esta es la longitud de trabajo definitiva. Se debe anotar en la historia clínica las medidas de cada conducto y el punto de referencia tomado para cada conducto.

7.      Para conductos que se superponen es necesario realizar la técnica de doble incidencia o técnica de Clark, para desproyectar a los conductos vestibulares del palatino o lingual.

Nota: Hoy en día la conductometría por medio de la radiología para determinar la longitud de trabajo,  ha sido complementada para una mejor exactitud, por los localizadores electrónicos de ápices, que tienen como objetivo llegar a límite cemento dentina cemento (CDC)

7- Conometria:

Consiste en introducir un cono maestro del tamaño a la ultima lima usada, para observar el ajuste al conducto en la región apical. El cono debe quedar a 0,5 mm del limite radiográfico apical.

Nota: Los cono que adquirimos en el comercio suelen no estar estandarizados y por ello no suelen ajustar en la zona apical. Hoy en el mercado hay conos con conicidades especiales que están estandarizados y por lo general suelen ajustar muy bien en la región apical; pero las limas que debe utilizar también tienen una conicidad especial. Ver Protaper Universal y Mtwo

8-  Postopertorio inmediato:

Para observar si hay sobre-obturación, debe entenderse a la sobre-obturación como el pasaje del cemento sellador por el foramen apical. Si en el proceso de condensación se observa el pasaje del extremo del cono de gutapercha hablamos de una sobre instrumentación.

Nota: las sobreo-bturación con el cemento sellador suelen ocurrir por el proceso normal de conformación del conducto, por esto nosotros utilizamos la técnica Step back, para conformar un asiento apical, para evitar la sobre-instrumentación.

ANEXO: Procesamiento de la película radiográfica

El procesamiento de  la película radiográfica  es una parte importante del diagnóstico radiográfico. En breves líneas mencionaremos los errores más comunes que suelen ocurrir durante el revelado, lavado y fijado de la película radiográfica, cuando el proceso se realiza en forma manual.

  • Imagen clara:

    • Cuando no se espero el tiempo suficiente en el líquido revelador, la imagen obtenida es clara. Este error no tiene solución.

  • Imagen oscura:

    • Sucede cuando nos pasamos del tiempo necesario en el paso de revelado.  Y se puede solucionar de la siguiente manera: Extendiendo el tiempo de fijado. Se debe dejar sumergida la placa radiográfica en el líquido fijador durante 10 a 20 minutos, según las condiciones de temperatura del fijador. Un aumento de la temperatura produce una reducción del tiempo y viceversa. Si  la película se deja mucho tiempo en fijador, resultará la desaparición de la imagen por aclaramiento.

    • La luz no se transmite al otro lado de la radiografía , por lo que es oscura y difícil de interpretar. Este problema sucede por la falta de fijador.  La solución es poner la película en fijador por espacio de tres minutos.

  • Película color café cuando se seca o que se oscurecen con el paso del tiempo:

    • Esta complicación es derivada de mal lavado de la película. Toda película debe ser lavada por lo menos entre  5 a 10 minutos después del fijador.

  • Importancia del lavado intermedio de la placa radiográfica. Antes de pasar la placa del revelador al fijador es necesario lavar con agua limpia. Este paso es importante ya que debemos deshacernos de los residuos del reductor. Es necesario evitar la contaminación del fijador con el reductor, pues este va inactivando el fijador haciendo que su acción sea cada vez más lenta hasta neutralizarlo.

  • Mucho tiempo de procesado; suele ocurrir cuando el revelador se ha oxidado, toma un color oscuro o el fijador se ha reducido por contaminación con el revelador. En ambos casos de cambiar los líquidos por soluciones frescas. La temperatura de los líquidos afecta la velocidad del procesado, líquidos fríos producen un aumento del tiempo del procesado.

Siguiente página

Bibliografíia