Salud Dental Para Todos

   
         
   

 

 

   

Módulo 3: Gestión de caries

Los materiales, los métodos, las instrucciones, las recomendaciones, las conclusiones, etc. que se encuentran en estas páginas sólo puede relacionarse a un caso particular, situación, área o país. Cualquier uso - o mal uso - de nuestra información  corre por cuenta  de cada usuario. Cualquiera que usa nuestra información (por ejemplo para el tratamiento de pacientes) debe verificar que está de acuerdo con las normas locales, las regulaciones, la legislación, etc., y que los procedimientos son aceptados por autoridades locales involucradas.  

Conozca el uso, la eficacia y los detalles de seguridad de cada una de las diversas tecnologías preventivas para tomar una decisión más informada a la hora de elegir las tecnologías de prevención de caries dentales que utilizará en su consulta.

El plan de manejo individual de lesiones de caries está hecho a la medida de cada lesión. El diagnóstico de caries (ICDAS Combinado) y el estado de actividad de caries, se puede aplicar en las decisiones de manejo de caries. El nivel de intervención depende de la clasificación clínica de caries de la superficie o diente y de la extensión radiográfica (cuando esta información está disponible) de la lesión en esmalte o dentina. Los niveles de manejo clínico recomendados para lesiones activas se definen de la siguiente manera:

Lesión Inicial: Manejo No Operatorio (MNO) no genera aerosoles para disminuir riesgo de contagio en pandemia Covid 19.

Lesión Moderada: Manejo No Operatorio / Manejo Operatorio con Preservación Dental (MOPD)

Lesión Severa: en general Manejo Operatorio con Preservación Dental. Ver figura 24.

Figura 24: Manejo no operatorio y operatorio con preservación dental para ICDAS Combinado y Completo.

Para superficies sanas y lesiones detenidas, se recomienda la prevención basada en el riesgo.

La única decisión de tratamiento sugerida con base en la revisión de la mejor evidencia disponible, que puede ser susceptible de modificaciones a nivel local, es cuando el examen clínico clasifica la lesión como moderada pero radiográficamente se considera RA3 (radiolucidez en el tercio externo de dentina). Las opciones clínicas en este caso serán el (MNO) de las lesiones.

Los principios operatorios con preservación de estructura dental, deberían guiar todas las decisiones de cuidado restaurativo. Las intervenciones quirúrgicas restauradoras sólo se utilizan como último recurso. La forma y extensión de la preparación de la cavidad es determinada por la lesión cariosa, la presencia de dentina infectada o afectada. La remoción de caries en la zona pulpar de la cavidad debería remover la dentina reblandecida infectada y prevenir la exposición de una pulpa vital (la evaluación de la vitalidad pulpar es una consideración importante antes de tratar lesiones cercanas a la pulpa). Es aceptable dejar dentina pulpar pigmentada. En lesiones activas severas donde hay riesgo de exposición de pulpa vital, la excavación paso a paso o la excavación parcial de caries deberían considerarse. Siempre que sea posible, debe evitarse la exposición pulpar.

Con respecto a la caries asociada con restauraciones o sellantes, se recomienda sellar o reparar los márgenes defectuosos o cariados en los casos en los que sea posible. Esto también aplica en el caso de sellantes defectuosos o perdidos, que requieran sólo mantenimiento / reparación.

Con base en la mejor evidencia disponible  y dependiendo de la categoría de caries, se recomienda las actividades que se muestran en la tabla 25  para dentición permanente:

Tabla 25: Manejo individual de lesiones en dientes permanentes.

  Estadíos  caries

Fosas y Fisuras Superficies proximal Superficie lisas

SANO

 Prevención basado en el riesgo del paciente

CARIES INICIAL ACTIVA

MNO: Fluoruro tópico aplicado trimestralmente. (67,76)

  • NaF en gel (1.1% NaF), (SIGN 1++; GRADO A)

  • Fluoruro  solución (2% NaF) (SIGN 1+, GRADO A)

  • Barniz fluorado (SIGN 1-, GRADO B)

MNO: Higiene oral con pasta dental fluorada (>=1500 ppm)  Duración del cepillado 2 minutos.(SIGN 1++; GRADO A) (51,66)

  • Niños de 6 a 11 años: Técnica  de cepillado Horizontal ó Fones. Con 10 mm de pasta dental sobre las cerdas del cepillo para niños equivale a 1000 ppm F-
  • Niños > 12 años: Técnica  de cepillado de Bass . Con 15 mm de pasta dental sobre las cerdas del cepillo para Adultos equivale a 1500 ppm F-
MNO: Cepillado dental dos veces al día (tras el desayuno y antes de dormir) con pasta dental fluorada de 1500 ppm F- (duración del cepillado 2 minutos), enjuagues de clorhexidina al 0,12% por 30 segundos por 1 semana cada mes, y el uso diario de enjuagues con 0,05% F- las otras 3 semanas del mes. (SIGN 1++; GRADO A)(179)

MNO: Cepillado dental con gel FFA pH 5,6  1% FNa (4500 ppm F-) durante 40 noches, para remineralizar en >= 6 años de edad. Duración del cepillado 2 minutos. (SIGN 1+, GRADO A)(183)

MNO: Enjuagatorios fluorados 0,05% dos veces al día, después del cepillado dental. El enjuagatorio debe durar  30 segundos. (SIGN 1++, GRADO A)(58)

MNO: Remoción mecánica de placa bacteriana (SIGN 3) (56,57)

MNO: Sellantes a base de resina (SIGN 1++, GRADO A) (65)

MNO: Sellantes a base de resina /infiltrantes  (SIGN 2--) (78)

MNO: Sellantes a base de resina /infiltrante. (Cuando no es posible la  remineralización en mancha blanca)  Micro-abrasión y sellantes a base de resina/infiltrante en mancha marrón por estética.(SIGN 2--) (78)

MNO: Sellantes a base de ionómero de vidrio (SIGN 1---) (65,79)

CARIES INICIAL DETENIDA

Sin tratamiento especifico para la lesión.

MNO: Micro-abrasión y sellantes a base de resina/infiltrante en mancha marrón por estética.(SIGN 2--) (78)

CARIES MODERADA ACTIVA

MNO: Sellantes a base de resina ó ionómero de vdrio (Tratamiento mínimamente invasivo, para código 3) (SIGN 1++, GRADO A) (65)

  • Determinar si existe cavidad para opciones de manejo apropiadas (se recomienda separación dental) (33,85,86) (SIGN 2+)  

  • Si no hay cavidad: MNO.  

  • Si hay cavidad: MOPD (SIGN 1--)(83)  

MOPD (SIGN 1---) (83)

MOPD: Para código 4 (SIGN 1---) (83)

CARIES MODERADA DETENIDA

Ningún tratamiento o MOPD si la lesión es una ARP (SIGN 1---) (83,84)

MOPD – Razones estéticas (SIGN 1---) (83)

CARIES SEVERA ACTIVA

MOPD (SIGN 1---) (83)

CARIES SEVERA DETENIDA

MOPD: (SIGN 1---) (83)
MOPD si la lesión es una ARP o si es estéticamente inaceptable ) (SIGN 1---) (83)

 

Y en la tabla 26 las recomendaciones para dentición primaria:

 Tabla 26: Manejo individual de lesiones en dientes temporales.

  Estadíos  caries

Fosas y Fisuras Superficies proximal Superficie lisas

SANO

 Prevención basado en el riesgo del paciente

CARIES INICIAL ACTIVA

MNO: Fluoruro tópico aplicado trimestralmente (67,66)

  • NaF en gel (1.1% NaF), (SIGN 1++; GRADO A)

  • Fluoruro  solución (2% NaF) (SIGN 1+, GRADO A)

  • Barniz fluorado para niños < = 6 años (SIGN 1-, GRADO B)  

MNO: Cepillado dental dos veces al día (tras el desayuno y antes de dormir) con pasta dental fluorada de 1500 ppm F- Duración del cepillado 2 minutos. (SIGN 1++; GRADO A ) (51,56)
  • Niños < = 3 años: Realizado por los padres ó tutor (técnica de Starkey). Con Baby dedal  y 2,5 mm. o el tamaño de un grano de arroz  de pasta dental  equivale a 250 ppm F- 
  • Niños de 4 a 5 años: Realizado por los padres ó tutor (técnica de Starkey) Con  5 mm o el tamaño de una arveja de pasta dental sobre las cerdas del cepillo para niños equivale a 500 ppm F-
  • Niños de 6 a 11 años: Técnica  de cepillado Horizontal ó Fones. Con 10 mm de pasta dental sobre las cerdas del cepillo para niños equivale a 1000 ppm F- (88)

MNO: Sellantes a base de resina ó ionomero de vidrio (SIGN 1++, GRADO A) (81)

MNO: Sellantes a base de resina / infiltrantes  (SIGN 2--) (87)

MNO: Sellantes a base de resina/infiltrantes  (SIGN 2--)  (por imposibilidad de remineralización) (87)

CARIES INICIAL DETENIDA

Sin tratamiento especifico para la lesión.

CARIES MODERADA ACTIVA

MNO: Sellantes a base de resina  ó ionómero de vidrio (SIGN 1++, GRADO A) (65, 79)

  • Para opciones de manejo apropiadas determinar la presencia de cavidad por separación dental (SIGN 2+) (67,79,80)
  • Si no hay cavidad: MNO.
  • Si hay cavidad: MOPD (incluyendo corona metálica o forma plástica preformadas) (SIGN 1---) (83)
MNO: Sellantes a base de resina  (SIGN 1++, GRADO A)

MOPD Si no es factible el sellante (dificultad para aislar el diente) una opción es la corona metálica o forma plástica preformadas sin preparación dental (SIGN 1---) (83)

MOPD Si no es factible el sellante (dificultad para aislar el diente) una opción es la corona metálica o forma plástica preformadas sin preparación dental (SIGN 1---) 8(3)

CARIES MODERADA DETENIDA

MOPD si la lesión es una ARP o el área es estéticamente inaceptable (SIGN 1---) (83)

CARIES SEVERA ACTIVA

MOPD: Hidroxdo de calcio + ionómero vitreo, para una superficie. (SIGN 1---)  MOPD: Incluyendo forma plástica ó metálica preformadas. (80,83,84).

MNO: Si el manejo restaurativo no es posible, considerar Técnica de Hall o extracción (SIGN 1---) (83)

CARIES SEVERA DETENIDA

MOPD si la lesión es una ARP o si es estéticamente inaceptable (SIGN 1---) (83)

Los clínicos pueden escoger intervenciones de un paquete de Manejo No Operatorio (MNO) y Manejo Operatorio con Preservación Dental (MOPD). Las superficies sanas y las lesiones detenidas se tienen en cuenta para el manejo del riesgo y las lesiones moderadas/severas detenidas, para el MOPD.

Manejo no operatorio (MNO)

  1. Agentes remineralizantes del esmalte y la dentina

  2. Selladores

  3. Tratamiento mínimamente invasivo

  4. Resina infiltrante

  5. Técnica de Hall

1- Agentes remineralizantes del esmalte y la dentina

Los productos formulados para remineralizar esmalte y dentina son:

  • ACP: Fosfato de calcio amorfo (ACP® patentado por ADA )

  • CPP-ACP: Fosfato péptido de la caseina más fosfato de calcio amorfo (Recaldent®)

  • CSPS: Fosfosilicato de calcio y sodio (NovaMin®)

  • TCP: Beta fosfato tricálcico

Clasificados por:

  • Estructura química.

  • Mecanismo de acción remineralizante.

  • Grado de solubilidad

  • Producto comercial de uso profesional e individual

Tabla 27: Agentes remineralizantes del esmalte y la dentina
Estructura química ACP Fosfato de calcio amorfo Licencia del  ACP ADA CPP ACP Fosfato péptido de la caseina y fosfato de calcio amorfo (Recaldent®) CSPS: Fosfosilicato de calcio y sodio (Novamin®) TCP: Beta fosfato tricálcico
Mecanismo de acción Compuestos especializados de sal unida a iones de  calcio y fosfato  (amorfo) Ninguna estructura cristalina definida La caseína se une a la superficie del diente y la placa hasta que el pH disminuye  (ácido)
Esto crea iones de calcio y fosfato disponibles para la remineralización
La sílice se une al calcio y foasfato elevando el pH hasta que el sodio libera iones  de calcio y fosfato. Beta fosfato tricalcico reacciona con la saliva liberando iones de calcio y fosfato.
Solubilidad y biocompatibilidad con el Flúor Alto solubilidad en agua y biodisponibilidad. Mayor absorción de fluoruro Es soluble a pH ácido Se potencia con el flúor Se convierte en soluble cuando el sodio amortigua el pH ácido liberando iones de calcio y fosfato Baja solubilidad y tiene una fuerte estructura cristalina la cual no permite una alta tasa de liberación de iones de  fosfato y calcio
Producto comercial de uso profesional y personal Premier Dental.  Enamel Pro
  1. Barniz fluorado al 5%/ACP
  2. ProPaste/ACP
  3. Na F gel/ACP

Discus  (Philips)

  1. Day/Nite White/ACP

  2. Relief Oral Gel/ACP

Arm & Hammer®

  1. Complete Care™ /ACP

Bosworth Co.

  1. Aegis™ Sealant w/ACP

  2. Adhesives w/ACP

GC America

  1. MI Paste

  2. MI Paste Plus

  3. MI Fluoride Varnish

Cadbury

  1. Trident chewing gum

  2. w/ Recaldent

DENTSPLY

  1. Professional

  2. NUPRO

  3. NuSolutions

GSK

  1. Sensodyne Repair &  Protect  5,000 ppm F

3M

  1. Varnish F varnish/TCP

  2. Clinpro 950/TCP

  3. Clinpro 5000/TCP

 

 

Técnica de aplicación profesional de un agente remineralizante del esmalte y dentina (Mi Paste)

  1. Siguiendo la rutina de profilaxis para remover la placa, restos de comida o manchas, pida al paciente que se enjuague la boca.

  2. Aplique una generosa capa de MI Paste como parte del terminado final en la superficie de los dientes, utilizando una copa profiláctica ó un cepillo profiláctico. En áreas de difícil acceso use un cepillo inter proximal.

  3. Indique al paciente que mantenga el producto MI Paste por lo más que pueda en su boca (1-2 minutos o más) sin  escupir o tragar el producto. Entre más tiempo se mantenga MI Paste en contacto con los dientes, más efectivo será el resultado. 

  4. Pida al paciente no comer o beber nada en los siguientes 30 minutos después del tratamiento.

Nota: mi paste es usado para remineralizar lesiones iniciales de esmalte, dentina y cemento. También para disminuir la sensibilidad en la unión cemento esmalte (UCE)

Precauciones con Mi Paste:

  1. Remueva el exceso de pasta o humedad dentro de la tapa y tubo, y siempre cierre el producto con su tapa después de usar.

  2. En caso de contacto con los ojos lave inmediatamente con agua en abundancia y busque atención médica.

  3. En caso se derrame en la ropa, lave con agua.

  4. CPP-ACP es un derivado de la caseína de la leche. No use en pacientes con alergias o sensibilidad a la proteína de la leche o preservativos como el benzoato.

  5. En caso de experimentar alguna reacción alérgica descontinúe su uso de inmediato, el paciente debe enjuagar la boca con abundante agua, no debe tragar el contenido y salivar el resto. inmediatamente llamar a la Emergencia Médica.

Técnica de aplicación profesional del barniz fluorado (Clinpro White Varnish)

  1. Cepillado manual para eliminar placa bacteriana de la superficie dental

  2. Ubicar rollos de algodón en el cuadrante que se va a trabajar

  3. Secado de los dientes con gasa (figura 1)

  4. Aplique una capa delgada de barniz de una sola vez, lo más rápido posible (figura 2) notará que el barniz se vuelve más firme, porque seca muy rápido en ambientes cálidos ó en contacto con los dientes.

  5. Secuencia de aplicación:

    • Arcada superior desde las molares hasta los incisivos: caras vestibular, proximal, oclusal  y palatino

    • Arcada inferior desde las molares hasta los incisivos: caras vestibular, proximal, oclusal  y palatino (figura 3)

  6. Luego de la aplicación del barniz el paciente no debe comer nada por las siguientes dos horas, solo puede beber agua.

  7. No se debe cepillar los dientes el día de la aplicación.

Figura 1
Figura 3

Figura 2

2- Selladores

El uso de selladores de puntos y fisuras ha mostrado ser un método eficaz en la prevención de caries oclusal durante las recientes décadas.  Las mejoras en los materiales dentales han aumentado la retención y han mejorado la sensibilidad de la técnica en los los pacientes con alto riesgo de caries. Un análisis formal ha demostrado su eficacia (236)

Los selladores deben aplicarse y mantenerse en las fosas y fisuras en  los niños con  riesgo moderado y alto  de caries.

Hay  4 tipos morfológicos de fosas y fisuras:

1: En forma de "U"

  2: En forma de "V"

 3: En forma de "Y" 

4: En forma de "Botella de Coca-Cola"

Una morfología de la fisura estrecha, con forma de botella de "Coca-Cola" genera un nicho ecológico ideal para la colonización de cualquier bacteria productora de ácidos. Al no poder remover en forma períodica dicho biofilm de una zona tan estrecha, el ataque ácido genera una lesión cariosa en la dentina, con un aspecto de esmalte intacto a la inspección visual, o sea un típico código 3 y 4 de ICDAS Completo. (Caries Moderada para el ICDAS COMBINADO)

Por este motivo es importante realizar el sellado de las fosas y fisuras de molares y premolares cuando comienza su erupción dentaria, como método de prevención eficaz de caries.

Ver Modelo actual de caries en fosas y fisuras (PPS 600KB)

Imagen digital que representa la microfiltración y penetración del sellante realizado.

Microfotografía: Muestra como el sellador obtura la caries subyascente, evitando su avance.

   

Código 3 (Caries moderada) in vitro. Los códigos 3 in vivo debe ser sellado para evitar el avance del proceso carioso. (MNO)

 

Código 4 (Caries moderada) in vitro. Los códigos 4 in vivo deben ser tratados en forma operatoria con preservación dental (MOPD), porque presentan dentina infectada.

La selección del diente a sellar depende también del criterio clínico. El Índice de Placa Oclusal (IPO) es útil para evaluar el riesgo de caries de fosas y fisuras, cuando los recursos son escasos.

Este índice es utilizado para evaluar la higiene de las caras oclusales. Para ello se utiliza una solución reveladora de placa bacteriana (doble tono). El paciente debe realizar un buche con agua para eliminar el exceso de colorante. En el siguiente cuadro se observa los criterios utilizados:

Índice de placa oclusal

0

No hay placa.

1

Placa de color rosa en surco.

2

Placa de color rosa en surco con islotes azules.

3

Placa de color azul en surco.

 1

 2

3

Criterio preventivo según resultados del índice placa oclusal:

0

Continuar con la higiene que realiza el paciente.

1

Realizar  barniz fluorado ó barniz con clorhexidina en dientes temporarios

Realizar selladores de fosas y fisuras en dientes permanentes

2

3

 

Las cerdas del cepillado dental no llegan a barrer la placa bacteriana del fondo del surco. Para la eficacia óptima, los selladores deben estar presentes en todos los puntos y fisuras. La condición del seallador  debe observarse regularmente durante las visitas de control dental y si es requerido deberá  ressellar o repararlo. (237)

La selección de pacientes que se beneficiarán con la aplicación de selladores se basa en la evaluación del riesgo de caries.  Para la mayoría de los profesionales, sellar solo los molares permanentes en "individuos de moderado y alto riesgo" suele ser suficiente. Sin embargo en los pacientes de riesgo moderado y alto deben ser selladas todas las fosas y fisuras de todos los dientes (238) 

Elektronenmikroskopische Darstellung der feinen Zahngrübchen undd er dicken Borsten der Zahnbürste

Técnica de selladores:

  • Limpieza con cepillo dental de las superficies (sin pasta dental)

  • Aislación relativa del cuadrante a tratar.

    1. Secado de las superficies oclusal y grabado con ácido orto-fosfórico 37% durante un minuto en dentición permanente.

    2. Lavado y secado con jeringa triple, observar el aspecto de tiza del esmalte.

    3. Con la jeringa del producto ó pincel pasar el sellador por las surcos y fosas de caras oclusal, vestibular y palatino / lingual sin atrapar burbujas, el sellador debe quedar confinado al surco y fisura.

    4. Polimerizar durante 20 segundos con luz halógena ó led.

  • Chequear el sellador con sonda OMS.

La condición de los selladores debe inspeccionarse en cada consulta dental.

Los selladores de ionómero vítreo tienen una retención más pobre que los materiales de  resina compuesto y su efecto en la reducción de caries es más bajo. Por consiguiente, los sealladores de ionómero vítreo son principalmente usados cuando no es posible usar un material de resina (239) , Ver tabla 28 y 29. 

TABLA 28: Porcentaje  de retención completa de selladores de ionómero vítreo en dentición permanente.

País

 Período

Operador

Material

 Edad

 Nº de casos evaluados

 % de superficies libres de caries

Años

1

2

3

4

Tailandia *

1991-94

D, TD

Chem Fil

7-58

107

78

64

50

 

Zimbawe*

1993-96

D, TD

Chem Fil Superior

13-16

314

75

63

50

 

Zimbawe**

1994-97

D, TD

Fuji IX

13-16

66

90

86

71

 

Hong Kong

1995-97

D

Chem Fil Superior y Fuji IX

12

87

82

66

   

China **

1995-97

TD

Ketac Molar

12

130

89

79

72

68

D: dentista; TD: terapista dental; * Los selladores fueron colocados en esmalte dental con signos de incipientes lesión.** los selladores fueron colocados en superficies con signos de lesiones tempranas en fosas y fisuras (Grupo de alto riesgo de caries)

Bibliografía: Who Collaborating Centre: http://www.whocc-nijmegen.com

 

TABLA 29: Superficies libres de caries en selladores de ionómero vítreo realizados en dentición permanente.

País

Período

 Operador

Material

 Edad

 Nº de casos evaluados

 % de superficies libres de caries

Años

1

2

3

4

Zimbawe

1993-96

D, TD

Chem Fil Superior

13-16

314

99

96

92

 

Zimbawe

1994-97

D, TD

Fuyi IX

13-16

66

98

98

96

 

Hog Kong

1995-97

D

Chem Fil Superior y Fuji IX

12

87

 

95

   

China

1996-98

TD

Ketac -  Molar

12

184

100

99

98

95

D: dentista; TD: terapista dental

Bibliografía: Who Collaborating Centre: http://www.whocc-nijmegen.com

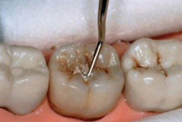
3-Tratamiento mínimamente invasivo

La ventaja de este procedimiento es solo eliminar el tejido lesionado por caries y no debilitar el diente en el tallado por retención y conveniencia que se realizaba, cuando esta lesión es tratada para ser obturada con amalgama.

La restauración realizada con un sellador  de puntos y fisuras se indica principalmente en las superficies oclusales de molares y premolares permanentes y también puede indicarse para los molares primarios. Ellos son muy apropiados cuando la cavidad preparada es un hoyo o una hendidura  pequeña y discreta. Se restaurarían las cavidades más grandes más apropiadamente con amalgama o con una resina compuesta para dientes posteriores.

El examen visual debe emprenderse con los dientes completamente secos y con una buena iluminación.  El uso de amplificación de imagen también puede ayudar en el diagnóstico. El uso de una sonda se restringe al levantamiento de placa y detritos de comida.

El diente al lavarse y secarse con la jeringa triple deja expuesto esmalte blanquecino escarchado o opaco que delata un proceso de desmineralización, debido a que el agua se evapora de los microporos. Ver círculos rojos

Codificación  ICDAS y manejo individual de las lesiones

Código 1

Código 2

Código 3

Código 4

Código 5

Caries Inicial

Caries Moderada

Caries Severa

MNO

MNO /MOPD

MOPD:

Una mancha oscura de dentina que se observa a través del esmalte intacto,  adyacente a la fosa y reborde marginal,  indica la presencia de desmineralización. (Imagen 0229)  

Las Radiografías Bite-Wing son un pre-requisito cuando se considera una restauración con sellador. Éstos no deben mostrar evidencia de caries interproximal que pueden indicar que una restauración deba ser  más extensa. Debe ser considerado que el tamaño real de la lesión es normalmente más grande que la imagen radiográfica. La Transiluminación  también puede ser un beneficio para el diagnóstico de caries oclusal y caries interproximal.

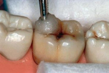
Técnicas restaurativas que utilizan selladores:

  1. Utiliza el sellador

    1. Debe limpiar con una brochita y polvo de piedra pómez y agua, la superficie a grabar con ácido fosfórico al 30 %.

    2. Grabe con el ácido 30 a 40 segundos, lave y seque hasta tener el color blanco tiza del grabado de esmalte.

    3. Agregue el material sellador a la superficies a sellar sin introducir burbujas, polimerice según indique el fabricante.

  2. Utiliza el agente de enlace, sellador y una resina  flow.

    1. Se realiza una apertura con fresa redonda de 1/4  con alta velocidad y rocío con agua.

    2. Grabe con el ácido 30 a 40 segundos, lave y seque hasta tener el color blanco tiza del grabado de esmalte.

    3. Coloque el agente de enlace, deje actuar 20 segundos seque y polimerice según indique el fabricante.

    4. Agregue el material sellador a la superficies sin introducir burbujas, polimerice según indique el fabricante.

    5. Luego agregue resina flow hasta rellenar la cavidad si es necesario y polimerice según indique el fabricante.

  3. Utiliza un ionómero vítreo, un agente de enlace, un sellador o resina flow.

    1. El ionómero se utiliza como sustituto de la dentina, debe prepararse según indique el fabricante.

    2. El material rellena la cavidad realizada con fresa 1/4 con alta velocidad y rocío con agua.

    3. Una vez endurecido el ionómero vítreo, grabar con ácido ortofosfórico por 40 segundos, lavar con agua y secar con jeringa triple.

    4. Aplicar el agente de enlace y el sellador o resina fluida

Fresa 1/4

(0,5 mm. de diámetro)

 

El éxito de las  restauraciones con sellador:

Uno de los mayores problemas cuando es considerado las proporciones de éxito de restauraciones con selladores es la variación que hay entre las técnicas y los materiales utilizados.  Hay también pocos estudios que comparan las restauraciones con amalgama y selladores.

Los  estudios en tiempo corto  indican un grado alto de éxito para la restauración con selladores.  Los estudios más largos parecen indicar que ese éxito es menos predecible (However et al)  Para la comparación directa de la restauración con sellador es necesario definir el éxito como 100% retención y ningún caries presente en el diente. Sin embargo, presentando los estudios de esta manera pueden dar un cuadro engañoso y es necesario considerar varios estudios con más detalle.

Mertz-Fairhust et al. Informó que un estudio de 9 años comparando tres tipos de restauraciones:  amalgamas convencionales, amalgamas con sellador  y sellador.  Ver grafico abajo.

Material

Retención en %

Caries en %

Sellador

82%

16%

Amalgamas con sellador

41%

-

Resina compuesta con selladores

28%

-

Lo que es particularmente  interesante es que se pusieron las restauraciones encima de las lesiones de caries después de la preparación mínima y que las lesiones cariosas  no progresaron bajo las restauraciones selladas intactas. La actuación clínica del sellador era superior a la  restauración convencional de amalgama en cavidades pequeñas.

En un estudio de Welbury et al.  comparó  restauraciones pequeñas con sellador,  con  restauraciones de amalgama en 5 años. Mientras se retuvieron sólo 26% de las restauraciones con sellador  y solo se observaron 2% de caries asociadas a la restauración. No había ninguna diferencia significante en el tiempo de supervivencia de la amalgama y restauraciones con sellador. Y también se halló en este estudio que había una media del 25% en la superficie oclusal que ocupaba las amalgamas en los dientes contra un 5% de la superficie oclusal de los selladores.

El et de Houpt et al. en un estudio de  9 años ha demostrado que 54% de restauraciones con selladores se encontraba en función y solo 25% había tenido una pérdida parcial y en ella no había caries oclusal.

El acuerdo general de los estudios es por lo menos que las amalgamas y los selladores en cavidades pequeñas tienen las misma perfomance en un tiempo de 5 años, y que en cavidades mínimas los selladores conservan más el tejido dental que las amalgamas. También está claro que la longevidad de la restauración con sellador es dependiente de una técnica mas laboriosa por parte del profesional..

Si la técnica adecuada para el sellador garantiza una mejor retención, entonces una caries recurrente o progresión a caries debajo del sellador es despreciable. Esto es consistente con los estudios de progresión de caries debajo del sellador en fosas y fisuras que tienen caries.

Por consiguiente si una restauración con sellador  se realiza en un diente, es deber del profesional utilizar una técnica de aplicación correcta para asegurar la máxima retención, y debe ser reparado o reemplazado si es necesario para minimizar el daño al tejido dental.  Además deben tomarse las radiografías  bite-wing a los intervalos apropiados para verificar que no hay ninguna progresión de caries extensa.

Conclusiones

  • Aunque el éxito de las resinas compuestas posteriores más grandes (caries severa) parece ser inferior al éxito de la  amalgama, las lesiones moderadas e iniciales pueden ser tratadas con éxito a largo plazo, utilizando las técnicas mencionadas anteriormente. Incluso reparando con selladores y resina flow amalgamas con caries secundaria (Inicial y moderada).

  • Cuando por razones técnicas no se puedan usar resinas (sellador, resina flow)  para la reparación u obturación, se utilizará como material único el ionómero vitreo

4- Resina infiltrante:

La infiltración de caries es considerado un nuevo tratamiento basado en la técnica micro-invasiva que según el fabricante llena, refuerza y estabiliza el esmalte desmineralizado sin sacrificar estructura dental sana. Es utilizado en lesiones de superficies lisas libres y con diente adyacente, el fabricante no menciona la utilización en superficies oclusales.

Indicación radiográfica para la resina infiltrante en dentición permanente

Estadios iniciales

 

Radiolucidez en 1/2 externa del esmalte

Radiolucidez en la 1/2 interna del esmalte ± UAD (Unión amelo-dentinaria)

Se lo considera aún un estadio inicial porque no hay dentina infectada

Radiolucidez limitada al 1/3 externo de la dentina

Después de aislar el diente con un dique de goma y la colocación de cuñas para separar los dientes, la superficie del diente se prepara con un 15% de gel de HCL para abrir el sistema de poros del cuerpo de la lesión . A continuación, la superficie se enjuaga y  se seca con etanol, luego se continua secando con aire a presión. La resina Infiltrante Icon, que tiene un coeficiente de penetración alto, se aplica sobre la lesión, el exceso de material se retira, y el material es curado por luz. El fabricante recomienda la aplicación de una segunda capa del infiltrante, seguido de curado por luz adicional.

Aislación y separación de dientes

Gel de HCL

 Se enjuaga y se seca con etanol

Resina infiltrante

 Fotocurado

 

5- Técnica de Hall

La técnica de Hall es un método para el manejo de caries de molares primarios que utiliza una corona preformada de acero inoxidable (CPM)

  • No hay preparación dental

  • No hay eliminación de caries

  • No hay anestesia infiltrativa

Indicación radiográfica para la Técnica de Hall en dentición temporaria

Estadios iniciales

 

Radiolucidez en 1/2 externa del esmalte

Radiolucidez en la 1/2 interna del esmalte ± UAD (Unión amelo-dentinaria)

Se lo considera aún un estadio inicial porque no hay dentina infectada

Radiolucidez limitada al 1/3 externo de la dentina

  1. El niño se sienta erguido en el sillón dental, para reducir el riesgo de aspiración de la CPM . Puede ser necesaria una protección adicional de la vía aérea.

  2. Seleccione el tamaño correcto de la CPM  que cubra todo el molar hasta que tenga la sensación de "retroceso" cuando la presiona sobre el molar, pero no sobrepase los puntos de contacto (figura 1). 

  3. Llenar la corona con cemento de ionómero de vidrio. Pídale al niño que muerda la corona para posicionarla en su lugar definitivo y anímelo a hacerlo con audacia y con compromiso (figura 2). Si el niño se niegue a morder (lo cual es muy raro), intente asentarla usted mismo.

  4. Limpie rápidamente el exceso de cemento, luego aliente al niño a que permanezca mordiendo la corona hasta que endurezca el cemento.

Figura 1: Caries de 2 superficies en 84

Figura 2: El paciente muerde para adaptar la corona

La expectativa es que la caries, al sellarse, se detenga. Una auditoria de 111 coronas cementadas, utilizando la técnica de Hall, y un seguimiento de un mínimo de dos años (Dr. N. Hall, comunicación personal) dió los siguientes resultados:

Corona Preformada Metálica

Número

Porcentaje

Todavía presente o exfoliado naturalmente.

91

82%

Despegadas

3

3%

Extraído

16

14%

Corana extraída por intolerancia del niño

1

1%

Total

111

100%

Actualmente no se dispone de datos confiables para la longevidad de las restauraciones convencionales colocadas en  molares temporales en Atención Primaria. Sin embargo, los resultados de la auditoría para la técnica de Hall parecen ser similar a lo que podría esperarse de las técnicas de restauración convencionales, mientras que es menos invasiva y menos exigente, tanto para el operador como para el niño.

Claramente, una base de evidencia es requerida para la técnica Hall antes de que pueda ser recomendado para uso en atención primaria y esto Requiere un Ensayo Clínico Aleatorizado de Control.

Manejo operatorio con preservación dental (MOPD)

  1. Micro-abrasión

  2. Tratamiento  Restaurativo Atraumático

  3. Tratamiento Dental invasivo (Operatoria dental adhesiva)

Tratamiento dental convencional con amalgama, el Ministerio de Salud de la República Argentina resuelve: Resolución Nº 139/2009

Artículo 1.- Adoptar la política de la Organización Mundial de la Salud de definir un plan de minimización de exposición y reemplazo del Mercurio en el sector Salud.

Artículo 2.- Instruir a todos los hospitales y centros de salud del país para reemplazar, a partir de los nuevos procedimientos de compra de insumos, los termómetros clínicos de mercurio por otros libres del metal, siguiendo recomendaciones que emanen del área de Tecnología Médica de la ANMAT. en relación con los criterios de calidad y confiabilidad de las alternativas disponibles.

Buenos Aires, 23 de febrero de 2009

1- Micro abrasión del esmalte en superficies lisas, para la eliminación de mancha marrón por estética

¿Para que se utiliza?

  1. Decoloración de la superficie dental debido a caries inicial detenida, donde la estética es importante.

  2. Para eliminar pigmentaciones y decoloraciones del esmalte debido a fluorosis dental

  3. Decoloración motivadas por alteraciones de estructura del esmalte como la hipoplasia

Caries detenida

Hipoplasia

Fluorosis dental

Tipos de micro-abrasión:

  1. Micro corrosión con ácido hidroclorhidrico al 18%, se utiliza para eliminar las manchas opacas o color café, por frotación de una torunda de algodón con acido durante 5 minutos, debiendo ser cambiada por un lapso de tres veces. La reducción del esmalte es de100 +/- 47 micras.  Lave con hipoclorito de sodio al 5%  durante 1 minuto, y luego con agua corriente para eliminar el hipoclorito. Topicar con fluorfosfato acidulado . Todo el procedimiento debe llevarse a cabo con aislación absoluta.(240)

  2. Micro macro abrasión químico mecánica: Esta técnica suele utilizar un abrasivo asociado a un ácido como agente quelante, para lograr la reducción eficaz y controlada del esmalte dental. Debajo se puede observar un cuadro que indica la secuencia de la técnica:

    Diagnóstico

    Aislación

    Macroabrasión

    Microabrasión

    Evaluar

    Topicación

    Inspección visual

    Absoluta

    Instrumental rotatorio

    Agente abrasivo + ácido

    resultados

    Flúor

    Con una mezcla de polvo de piedra pómez ó polvo de carburo de silicio y acido hidroclorídrico al 18%  se realiza una pasta que debe ser frotada con puntas de material acrílico ó copa de silicona por un lapso de 3 minutos a baja velocidad. La frotación mecánica y el acido reducen el esmalte en unos.360 +/- 130 micras. Lavar la pieza dental con agua para ver el progreso. Si considera terminado el tratamiento debe neutralizar el acido de la superficie con hipoclorito de sodio al 5% ( el tratamiento con hipoclorito de sodio por un minuto, tiene  como objeto eliminar el tejido orgánico que resulta de la descalcificación.  Al no haber proteínas en la superficie dental el blanqueo es mucho más eficaz) y luego lave  con agua corriente para eliminar el hipoclorito. Topicar con fluorfosfato acidulado por 4 minutos. Todo el procedimiento debe ser llevado a cavo con aislación absoluta y protección ocular para el paciente  y profesional. (240, 241)

Ácido hidroclorhidrico al 18% + polvo de carburo de silicio

Pulidores para contrángulo:

1

Cono en resina de acrílico de auto-curado ó fotocurado

2

Copa profiláctica de silicona

3

Cepillo profiláctico en forma de copa

4

Brochita común

Pulidores para pieza de mano:

5

Goma diamantada

6

Goma al carburo de silicio

Paciente que fué portador de brackets donde se observa zonas de desmineralización (mancha marrón) y resina del cementado adherida al esmalte.

Antes

Después

2- Tratamiento  Restaurativo Atraumático

Introducción  

Aunque la caries dental han disminuido substancialmente en los países industrializados,  aun  es un problema extendido en el mundo. La mayoría de los dientes cariados  en los países en vías de desarrollo tienden a tener  una magnitud de daño que la única opción de tratamiento disponible es la exodoncia.

Esta técnica fue desarrollada para satisfacer las necesidades de los países en vías de desarrollo. El Tratamiento  Restaurativo Atraumático  (TRA) incluye prevención y tratamiento de caries dental. Este procedimiento  fue desarrollado para satisfacer las necesidades de los países en vías de desarrollo y está  basado en excavar y quitar caries  con solo instrumental de mano y  restaurar  el diente  con un material de relleno  adhesivo como el ionómero vítreo.

A diferencia de los métodos convencionales de tratamiento dental el TRA es no amenazante y no doloroso, por consiguiente no necesite anestesia, no usa equipamiento eléctrico ó neumático  caro y tiene una relación costo eficacia ventajosa.  Esta técnica es simple para entrenar  al  personal dental o personal sanitario. Todo lo que  se necesita es una superficie plana para recostar al paciente , un taburete para el operador y los instrumentos y materiales necesarios para TRA pueden llevarse fácilmente en una bolsa pequeña.  El TRA está por consiguiente indicado para las personas que  residen en áreas remotas y para la práctica de campo y en escuelas. El TRA es un acercamiento de tratamiento alternativo perfecto para las caries dental en los países en vías de desarrollo dónde suele realizarse la exodoncia  cómo único tratamiento alternativo.

Estudios de campo en  comunidades con el TRA

El  TRA  se abrió camino en Tanzanía en los mediados de los años ochenta siguió entonces por varios ensayos de campo en  comunidades como Thailandia, Zimbabwe y Pakistán en 1991, 1993 y 1995 respectivamente. Los resultados de los estudios en Thailandia y Zimbabwe han mostrado que 71% y 85% respectivamente de las restauraciones de TRA  permanecían  en los dientes después de 3 años.  Ver tabla 30 y 31

TABLA 30: Porcentaje de retención de Terapia  Restaurativa Atraumática de una sola superficie en dentición permanente

País

Período

Operador

Material

Edad

 Nº de casos evaluados 

 % de retención 

Años

1

2

3

4

Tailandia

1991-94

D, TD

ChemFil

7-58

144

93

83

71

 

Camboya

1993-96

ETD

Fuji II

12-17

39

78

 

59

 

Tanzania

1992-94

TD

Fuji II

11

85

 

93

   

Zimbawe

1993-96

D, TD

ChemFil Superior

13-16

197

93

89

85

 

Zimbawe

1994-97

D, TD

Fuji IX

13-16

206

99

94

88

 

Polonia

1994-97

D

Fuji IX

   

94

 

Zimbawe

1994-97

D, TD. ETD

Fuji IX

13-16

156

95

92

   

Pakistan

1995-97

D

Fuji IX

6-16

234

98

94

   

Hong Kong

1995-97

D

ChemFil Superior y Fuji IX

17-49

84

98

93

   

China

1996-00

TD

Ketac Molar

12

183

97

93

89

84

China

1997-98

D

Chemflex y Fuji IX GP

6-14

194

95

     

Sud Africa

1997-98

D, TD

Fuji IX y Ketac Molar

6-11

108

94

     

D: dentista; TD: terapista dental;  ETD: estudiante de terapia dental

Bibliografía: Who Collaborating Centre: http://www.whocc-nijmegen.com

 

TABLA 31: Porcentaje de retención de Terapia  Restaurativa Atraumática de una sola superficie en dentición temporaria.

País

Período

 Operador

Material

Edad

 Nº de casos evaluados 

 % de retención 

Años

1

2

3

Tailandia

1991-94

D, TD

ChemFil

6-8

71

79

 

49**

Polonia

1994-97

D

Fuji IX

   

100

China

1996-98

D, ETD

Ketac Molar

3-6

62

91

76

 

China

1997-99

TD

Ketac Molar

3-6

89

82

72

 

China

1997-98

D

Chemflex y Ketac Molar

6-14

64

93

   

Siria

1997-98

D

Fuji IX y Ketac Molar

6-8

320

93

89

82

Sur Africa

1998-99

D

Fuji IX

6-9

96

   

Sur Africa

1998-99

D

Diract

6-9

98

   

D: dentista; TD: terapista dental;  ETD: estudiante de terapia dental;  ** Perdidos el 59%

Bibliografía: Who Collaborating Centre: http://www.whocc-nijmegen.com

Ionómero vítreo  como material restaurativo en el TRA

El ionómero  está disponible en polvo y líquido, que tienen que ser mezclado juntos. Se adhiere a los dientes, químicamente (no mecánicamente) por ello no es necesario preparar una cavidad convencional. Estos materiales continúan liberando fluoruro después endurecidos previniendo la caries secundaria. No es perjudicial para la dentina  respetando  la integridad pulpar.

Los instrumentos y materiales esenciales para el TRA

Sólo es necesario instrumentos de  mano . Éstos son ( espejo bucal, explorador, pinza para algodón, excavadores en forma de  cuchara, hachas ó azadas de mano) Una almohadilla o loseta  para mezclar  y una  espátula también son necesarias.  A demás  de rollos y torundas de algodón , vaselina sólida para proteger la restauración de la humedad bucal, tiras plásticas para conformar las restauraciones y cuñas para sostener las tiras plásticas a los dientes.

El TRA es  basado en los conceptos modernos de preparación de la cavidad dónde la intervención  e invasión es mínima, este procedimiento  también es aplicable en los países industrializados para los pacientes especiales que tengan algún impedimento físico, mental o pacientes geriátricos.

El TAR  es un procedimiento amistoso dónde ningún taladro eléctrico o  inyecciones anestésicas son necesarias, por ello puede ser usado en niños y adultos temerosos..

Indicaciones y contraindicación del TRA.

Sólo se lleva a cabo en  cavidades pequeñas ( que involucra solo la dentina ) y en aquéllas que son accesibles para los instrumentos de mano. Con el instrumental de mano se elimina la dentina desorganizada e infectada hasta llegar a la dentina desmineralizada. Ver figura inferior.

 El TRA no se usa cuando:  

  1. Hay un absceso (infección) cerca del diente cariado.

  2. La pulpa del diente está expuesta.

  3. La cavidad de caries no puede trabajarse con instrumental de mano.

Conclusiones

Es un  tratamiento alternativo perfecto para los países en vías de desarrollo y los grupos de pacientes  especiales en el mundo industrializado.
 

  1. El TRA es un acercamiento biológico que requiere  una preparación mínima de  cavidad  y  conserva los tejidos dentarios.

  2. El TRA no necesita anestesia, disminuyendo el dolor y el trauma psicológico por la técnica anestésica.

  3. Simplifica el control  de la  infección con los instrumentos de  mano, porque  pueden limpiarse fácilmente y esterilizarse.

  4. No hay equipamiento costoso adicional. Por ello puede realizar trabajo dental en áreas remotas.

  5. El TRA es un procedimiento de bajo costo.

  6. Al ser  un procedimiento amistoso, es adecuado para niños, adultos temerosos o personas con alguna incapacidad. Es útil en el paciente anciano.

  7. Las restauraciones dentales son  más accesibles para todos los grupos de  población.  

Técnica TRA:

El tratamiento  restaurativo atraumático (TRA) o Atraumatic Restorative Treatment (ART) incluye prevención, eliminación de caries por medio de instrumental de mano y la obturación con material adhesivo (ionómero vítreo). Esta técnica es simple y de bajo costo, en comparación con el método convencional que necesita para su efecto instrumental rotatorio y equipamiento eléctrico. El TRA es posible realizarlo en áreas rurales, escuelas, centros de salud con equipamiento mínimo. Solo hace falta improvisar una camilla para el paciente y un  taburete para el operador; los instrumentos necesarios y materiales para el TRA puede llevarse fácilmente en un bolso pequeño. El TRA es un  tratamiento alternativo perfecto para  caries dental en  países en vías de desarrollo dónde es frecuente las exodoncias como único tratamiento para eliminar o reducir la infección dental.

Instrumental necesario para el TRA: Pinza para algodón, espejo bucal y explorador como instrumental de exploración y preparación del campo. 

Cucharitas de Black o pequeños excavadores para eliminar tejido cariado. Hachuela y azadón para el tallado del ionómero vítreo.

Se aísla el campo operatorio con rollos de algodón. Se limpia la cavidad con una torunda de algodón embebida en agua y luego se seca con torunda. Se utiliza la hachuela para ampliar la cavidad de caries, luego se elimina la caries con  cucharitas o excavadores.

Preparar el ionómero vítreo como indican la instrucciones del fabricante. Obturar con ionómero la cavidad y las fisuras remanentes.

Frote el  índice enguantado con vaselina y el material del relleno se aprieta firmemente con el dedo en el diente. Espere unos minutos y comience el tallado del material con el azadón.

 La obturación terminada debe abarcar todas las fosas y fisuras,.

Dr Jo Frencken serves as a Manager of WHO Global Project on ART.  His e-mail address is: J.Frencken@dent.kun.nl  Mail to Jo Frencken.

 

 

3- Tratamiento Dental invasivo (Operatoria dental adhesiva)

Clase I

Paciente de 30 años de sexo femenino que concurre a la consulta por perdida de obturaciones en oclusal de 16

Eliminación del tejido cariado en fosa distal

Base de ionómero vitreo en fosa distal

Grabado ácido

Aspecto del esmalte color tiza después del grabado

Adhesivo dental

Obturación en capas de 1 mm de espesor por cada exposición de fotocurado

Clase II

Caries en premolar superior en un paciente de sexo masculino de 35 años de edad

Caries en primer prmolar superior

Apertura con fresa cilíndrica a alta velocidad

Eliminación de cries en dentina con fresa redonda Nº 2 de acero

Eliminar caries con una cucharita de Black

Base con compuesto calcico fraguable

Matrizado

Grabado ácido observe el rmanente de esmalte en el fondo de la caja proximal (ver flecha roja)

Agente de enlace

Composite fluido en la caja proximal para estabilizar la matriz circular

Aplicación delcomposite condensable en capas finas

Sobreobturación con composite fluido

Contorneado con fresa de 12 filos y pulido

   

Chequeo oclusal y pulido con pasta profiláctica.

   

Clase III y VI

Eliminación de caries extensa en pieza dental anterior permanente con tratamiento de conducto realizado en consulta anterior, en paciente de sexo femenino de 30 años de edad.

Se observa caries  primaria en mesial  y en distal caries recurrente, con fractura del ángulo.

Vista desde vestibular donde se observa la caries mesial y distal con compromiso estético y funcional.

Aislación absoluta del campo operatorio con dique de goma y clamp cervical. se utiliza dique de goma oscura para mantener un buen contraste del campo operatorio.

Se utiliza fresa redonda de acero a baja velocidad con micro motor neumático. las fresas utilizadas fueron de tamaño mediano y grande Nº 2 y Nº 4

Se elimina en mesial la obturación y la caries recurrente.

Aún quedan vestigios de tejido cariado desorganizado en mesial y distal

En mesial se ha eliminado toda la caries, se lava con jeringa triple, para eliminar los detritus.

Una vez lavado se observa recidiva de caries en el ángulo diedro gingivo-vestibular, (Ver flecha blanca) para eliminar la caries en esta zona de poco acceso se utiliza una cucharita de Black bien afilada.

 

Se ha utilizado un microarenador para eliminar los detritus de dentina desmineralizada que no pudo eliminar con una cucharita de Black, bien afilada. El microarenador aumenta la superficie expuesta a grabar en casi un 100%

Nótese el tejido dentario libre de caries. Preparado para ser grabado con ácido ortofosfórico al 37 % durante un minuto. Lavar durante 30 segundos con spray y secar durante 30 segundos.

Si se verifica el patrón de gravado característico de color tiza, aplicar el agente de enlace por 30 segundos y secar suavemente con el aire de la jeringa triple. Fotocurar por 90 segundos .

Matrizar y obturar en capas que no superen el milímetro de espesor. La condensación debe ser tal para no incorporar burbujas. Una vez pulido debe observarse un color homogéneo, en este caso se ha optado por el A2 de Similux de Ventura.

Para el pulido se ha utilizado fresas multihojas "12 filos"  con alta velocidad y discos de papel grano grueso,  medio y fino (TDV);  con pasta de pulir Dent Brill a baja velocidad.

 

En la cara posterior se observa también un color homogéneo libre de poros o burbujas.

La región gingival se recupera a los pocos días. Se le indica al paciente una pasta y cepillo adecuado para su higiene diaria.

Prónóstico:  La vida útil de este tipo de restauración es de entre 1 y 3 años, dado que el diente pierde la elasticidad natural y es más proclive a la fractura. El tratamiento definitivo es el perno y la corona de porcelana. La inspección visual durante el tratamiento fue realizada con cámara intraoral PD-800ECMOS

 

Caries radicular opciones de manejo.

El manejo de la caries radicular está basado principalmente en opiniones de expertos. La evidencia de base para respaldar cualquier estrategia de manejo es débil o no existe. ICCMS recomienda las siguientes estrategias de manejo. Ver tabla 32 y diagrama 33. (49,60,61,164 -168)

Tabla 32: Opciones de manejo para caries radicular según estado de actividad

Categoría ICDAS

Caries Activa

Caries Detenida

Código 0

Prevención basada en el riesgo del paciente

Código 1

  • Higiene oral,

  • Barniz fluorado*,

  • Barniz de clorhexidina.(Cuentas altas de estreptococos mutans)

  • Agentes remineralizantes de la dentina o cemento: ACP, TCP, CSPS, TCP

  • Estimulación salival,

  • Cepillado dental con pasta dental fluorada > 1500 ppm 2 veces al día mínimo. .

  • FFA 1% pH 5,6 en gel de autoaplicación por 40 noches con el cepillado dental

  • Cepillado dental con pasta dental fluorada > 1500 ppm 2 veces al día mínimo.

Código 2

  • MOPD (cemento de ionomero vitreo y resina compuesta)

  • Higiene oral,

  • Barniz fluorado*, 

  • Barniz de clorhexidina, (Para cuentas altas de estreptococos mutans)

  • Estimulación salival,

  • Cepillado dental con pasta dental fluorada > 1500 ppm 2 veces al día mínimo.

  • MOPD: Cemento de ionómero vítreo y resina compuesta por razones estéticas

  • Cepillado dental con pasta dental fluorada > 1500 ppm 2 veces al día mínimo.

* Mejor evidencia acerca de la eficacia de barniz de fluoruro al 5% en lugar de los barnices de fluoruro con menor nivel de fluoruro.

33: Diagrama para el manejo de caries radicular

Criterios clínicos para el índice de placa de Löe y Silness (IPLS)

Grado

Características

0 No hay placa
1 No hay placa a simple vista. Hay placa cuando se realiza el pasaje de sonda  por el área dentogingival
2 Hay placa bacteriana a simple vista
3 Hay placa bacteriana a simple vista rodeando el diente, incluso por espacios interdentales. Puede haber cálculos.

 

   
   

Dirección: Od. Marcelo Alberto Iruretagoyena

Wilde Provincia de Buenos Aires. Argentina

 Revisado: JUNIO 2020