Salud Dental Para Todos

 

 Periodontología Pricipal  Gingivitis Periodontitis Patogenesis Perdida de inserción  Colonización subgingival Bacterias subgingivales Eliminación de  bacterias Patología periodontal  Tratamiento no quirurgico  Cicatrización  Cirugía  Gingivectomia  Procedimientos por colgajos

Periodontologia Básica

Gingivitis

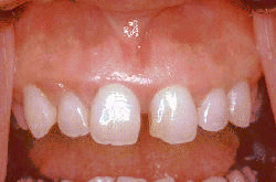
Una mujer de  45 años de edad con enfermedad periodontal moderada en  los sitios interproximales  y gingivitis sin  pérdida del nivel de inserción en las superficies bucales. Los gingiva alrededor de los dientes sangra al sondaje suave y los tejidos muestran inflamación, de color rojizo y consistencia floja. Estos  síntomas son las señales cardinales de la  gingivitis (inflamación del margen gingival)
Sección buco-lingual a través de la gingiva de un perro con  gingivitis naturalmente ocurriendo. La imagen se obtuvo con microscopio electrónico. Placa  dentogingival delgada puede verse en la superficie del diente a la izquierda en el cuadro. Esta placa forma una masa continua en el  área  supragingival  y en la región  subgingival. El epitelio adyacente a la placa contiene bacterias y en el tejido conjuntivo adyacente las células inflamatorias han aumentado.
Estas imagenes fueron producidas  por Rolf Attstrom y la Asociación Dental Dinamarquesa en colaboración con  Video  Goof, Dinamarca. Cámara y videoediting Tommy Ols, Videocompiling y Grabación  Anders Nattestad
Rolf Attstrom ,  Professor and Chairman, Department of Periodontology, Centre for Oral Health Sciences, 21421 Malmo, Sweden.
Anders Nattestad  Palle Holmstrup
Publicado en Agosto de 1998 y actualizado en Noviembre de 1999
Traducción:  Marcelo A.  Iruretagoyena (Odontólogo) Licenciada Adriana Verón.