Salud Dental Para Todos

 

Periodontología Pricipal Gingivitis Periodontitis Patogenesis Perdida de inserción  Colonización subgingival Bacterias subgingivales Eliminación de  bacterias Patología periodontal  Tratamiento no quirurgico  Cicatrización  Cirugía  Gingivectomia  Procedimientos por colgajos

Periodontología Básica

Tratamiento quirúrgico

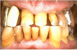
Varón de  63 años de edad con  enfermedad periodontal severa. Los dientes se han desgatado severamente y al sondaje de las bolsas periodontales encontramos una profundidad de  6-8 mm. En el canino inferiór puede observarse un épulis. Las señales de inflamación severa están presentes. La condición necesita tratamiento quirúrgico  con  gingivectomía, raspaje y alisado radicular. El paciente es instruído en los procedimientos de higiene oral.
El mismo paciente después del tratamiento, la patología periodontal se ha eliminado y las profundidades de bolsa son de 1-2 mm.  La condición periodontal se observó durante tres citas en un mes. La salud periodontal se mantuvo por los procedimientos de higiene oral y la rehabilitación protética del maxilar superior.
Después de  3 años del tratamiento periodontal y rehabilitación oral por puentes fijos. La condición periodontal es estable y el nivel de higiene oral se mantuvo. El puente fue diseñado para permitir una  limpieza eficaz de las raíces y las uniones entre las raíces y las coronas. Note en particular el ancho espacio interdental y el ajuste de las coronas a la anatomía de superficie de la raíz. El paciente es recitado cada seis mes y no se observó ninguna progresión a enfermedad periodontal.
Estas imagenes fueron producidas  por Rolf Attstrom y la Asociación Dental Dinamarquesa en colaboración con  Video  Goof, Dinamarca. Cámara y videoediting Tommy Ols, Videocompiling y Grabación  Anders Nattestad
Rolf Attstrom ,  Professor and Chairman, Department of Periodontology, Centre for Oral Health Sciences, 21421 Malmo, Sweden.
Anders Nattestad  Palle Holmstrup
Publicado en Agosto de 1998 y actualizado en Noviembre de 1999
Traducción:  Marcelo A.  Iruretagoyena (Odontólogo) Licenciada Adriana Verón.